Especialista em Prótese Dentária e Ortodontia, focada em proporcionar resultados naturais.

(CRO-RJ 27.316)
Com mais de 24 anos de experiência, sou dentista formada pela Universidade do Grande Rio (Unigranrio – RJ), com especialização em Prótese Dentária e Ortodontia. Desde 2012, tenho me dedicado ao uso de alinhadores invisíveis, trazendo o que há de mais moderno em ortodontia estética, sempre com uma visão integrada de reabilitação oral.
Para mim, a odontologia vai além de alinhar dentes. Minha missão é transformar sorrisos e resgatar a autoconfiança dos meus pacientes.
Com mais de 24 anos de experiência, sou dentista formada pela Universidade do Grande Rio (Unigranrio – RJ), com especialização em Prótese Dentária e Ortodontia. Desde 2012, tenho me dedicado ao uso de alinhadores invisíveis, trazendo o que há de mais moderno em ortodontia estética, sempre com uma visão integrada de reabilitação oral.
Para mim, a odontologia vai além de alinhar dentes. Minha missão é transformar sorrisos e resgatar a autoconfiança dos meus pacientes. Cada tratamento é planejado de forma personalizada, com foco em estética, saúde bucal e funcionalidade, criando resultados naturais e sofisticados.
Na primeira consulta, escutamos com cuidado a sua história, entendemos suas expectativas e realizamos um diagnóstico completo com tecnologia de ponta: o Check-up Digital.
A partir dessa avaliação detalhada, traçamos juntos(as) um plano de ação personalizado, que une estética, saúde bucal e bem-estar.
Aqui, o cuidado começa com escuta, acolhimento e precisão.
Como aplicação de toxina botulinica, bioestimuladores de colageno e preenchedores em regiões estratégicas.
Diagnósticos e prevenção da síndrome do envelhecimento precoce bucal.
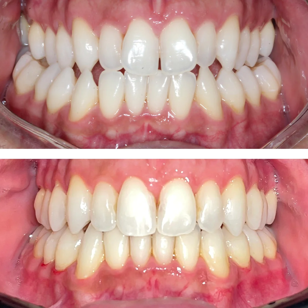
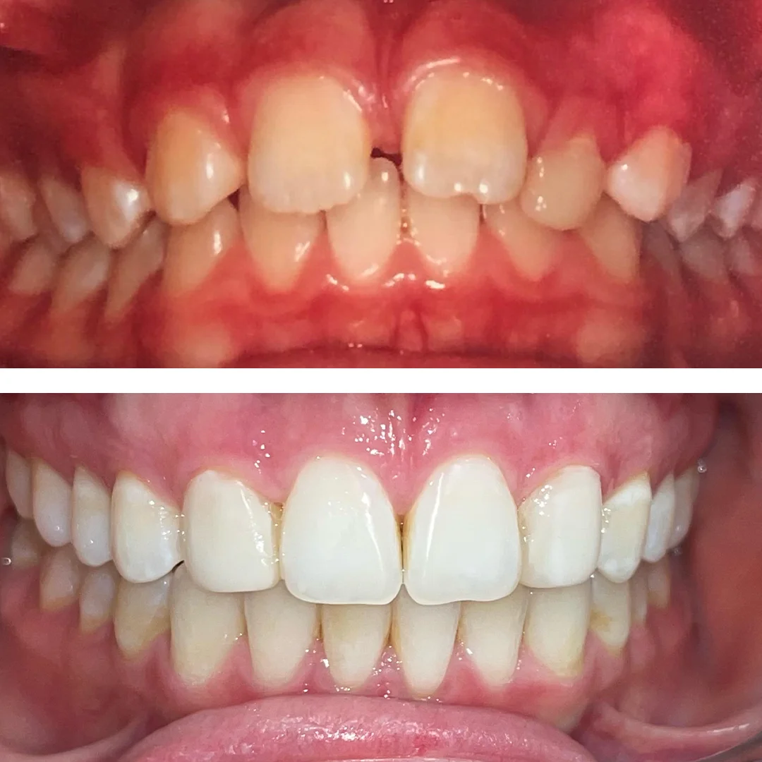
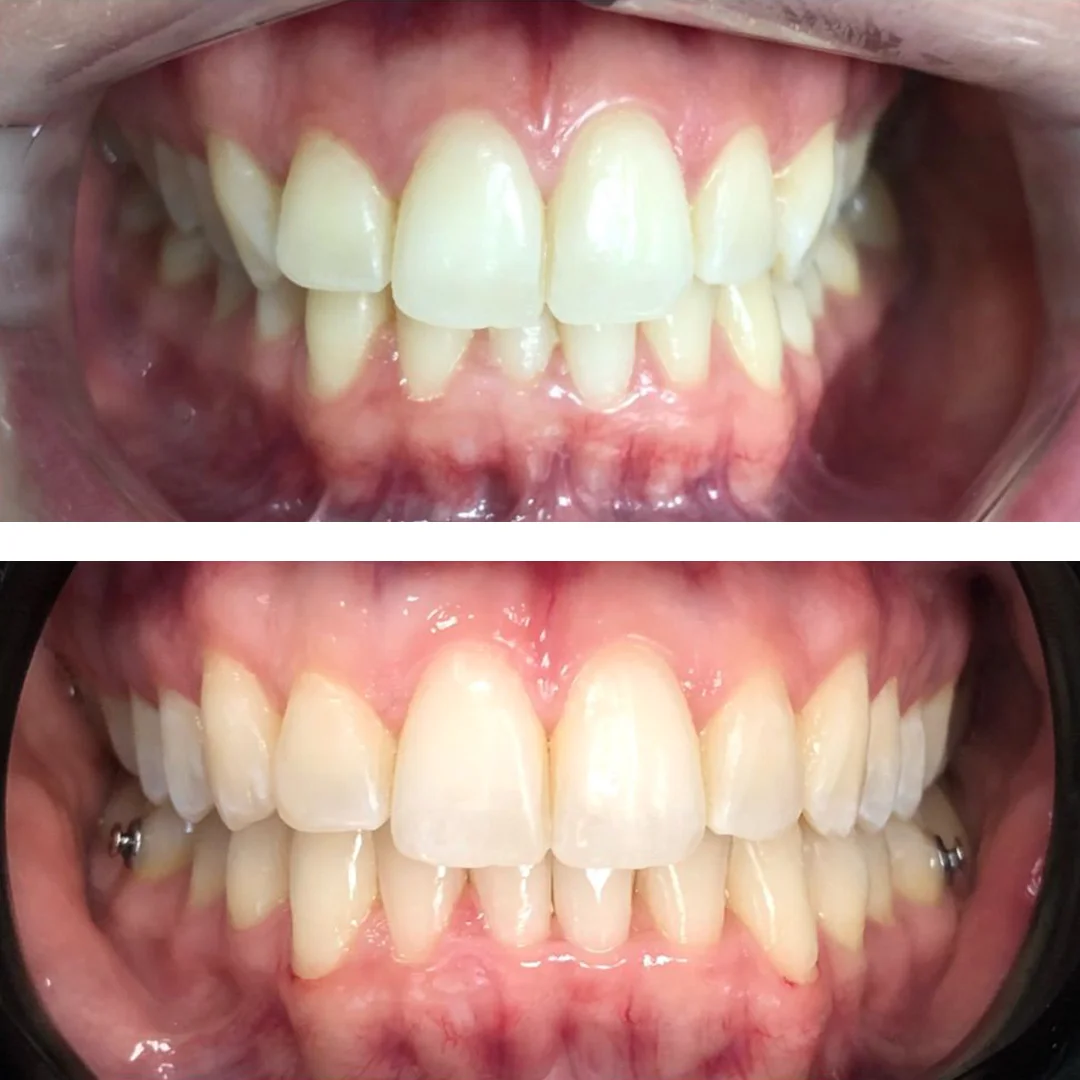
Dentes perfeitamente posicionados, proporcionando um sorriso mais bonito e simétrico.
Dentes alinhados são mais fáceis de limpar, reduzindo o risco de cáries, doenças gengivais e problemas na articulação.
Um sorriso bonito impacta diretamente a sua confiança, melhorando suas interações sociais e profissionais.
Graças ao planejamento digital, você sabe exatamente o que esperar do seu tratamento, desde o início até o resultado final.
Agora, você pode simular o seu novo sorriso no conforto da sua casa. Com a nossa tecnologia de ponta, é possível visualizar como os alinhadores invisíveis podem melhorar a estética e a saúde do seu sorriso, sem precisar sair de casa.
Experimente a transformação e agende sua consulta para um planejamento personalizado.
Acesse o link a baixo e faça a sua simulação agora mesmo.
https://cus-invisalign-starter-use-prd.herokuapp.com/sv/375681
Um espaço onde tecnologia, conforto e cuidado humano se encontram. Na Dômina Odontologia, cada detalhe foi pensado para oferecer uma experiência acolhedora, segura e transformadora — do agendamento ao sorriso final.
Não, eles não causam dor. É comum sentir uma leve pressão ou desconforto nos primeiros dias de uso de cada novo alinhador, à medida que os dentes se movimentam. Essa sensação é temporária e geralmente desaparece em poucos dias.
Não, é necessário remover os alinhadores para todas as refeições e para beber líquidos que não sejam água. Isso evita manchas nos alinhadores e o acúmulo de resíduos de alimentos.
O tempo de tratamento varia de 6 a 18 meses em média, dependendo da complexidade do caso e da sua disciplina. Casos mais simples podem ser concluídos em menos tempo, enquanto casos mais complexos podem levar mais de 24 meses.
São praticamente invisíveis. Por serem transparentes e se encaixarem perfeitamente nos dentes, são muito discretos e difíceis de serem notados por outras pessoas.
Sim, a fase de contenção é essencial para manter os dentes na nova posição e evitar que retornem à posição original. Seu dentista indicará o tipo de contenção (fixa ou removível) e o tempo de uso.
Dra. Flavia Belchior – Copyright © 2025 | Todos os direitos reservados.
Desenvolvido por Allude Design